Περιγραφή:
Ασθενής 79 ετών προσήλθε με προκάρδιο άλγος και ηλεκτροκαρδιογραφικά ευρήματα συμβατά με οξύ έμφραγμα προσθίου τοιχώματος.
Ιστορικό σακχαρώδους διαβήτη υπό αγωγή με δισκία, καπνιστής με οικογενειακό ιστορικό στεφανιαίας νόσου.
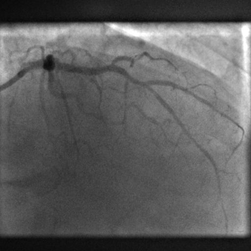
Δόθηκε αντιαιμοπεταλιακή, αντιπηκτική και αντιστηθαγχική αγωγή και έγινε στεφανιογραφικός έλεγχος που ανέδειξε ολική απόφραξη του έντονα επασβεστωμένου προσθίου κατιόντα στο ύψος του πρώτου διαφραγματικού χωρίς άλλες σοβαρού βαθμού στενώσεις (Εικόνες 1Α και 1Β). Έγινε προσπέλαση της βλάβης σχετικά δύσκολα με σύρμα Fielder XT (Εικόνα 2). Η διέλευση μπαλονιών ήταν πολύ δύσκολη και παρά τις διατάσεις σε υψηλές ατμόσφαιρες και ρήξη μπαλονιών (grenadoplasty), η βλάβη παρέμεινε ανένδοτη. Αλλάχτηκε ο 6 F οδηγός καθετήρας σε μακρύτερο 7 F ΕΒU4.0 και προσπελάσθηκε και ο διαγώνιος κλάδος. Με την καλύτερη στήριξη, μπαλόνια πολύ υψηλής πίεσης OPN 2.5Χ10mm και 3.0Χ15mm διατάθηκαν στις 35 atm χωρίς όμως να διανοιχθεί επαρκώς η επασβεστωμένη βλάβη (Εικόνα 3). Αποφασίσθηκε η χρήση ενδοστεφανιαίας λιθοτριψίας με μπαλόνι Shockwave 3.0X12mm, το οποίο αρχικά δεν διήλθε τη βλάβη ακόμη και μετά από εισαγωγή σύρματος και μπαλονιού στην περισπωμένη για καλύτερα στήριξη (anchoring balloon, Εικόνα 4). Η διέλευση του μπαλονιού λιθοτριψίας κατέστη εφικτή μόνο μετά από χρήση προέκτασης καθετήρα Guidezilla (Εικόνα 5). Μετά την εφαρμογή και των 80 παλμών, διανοίχτηκε η στένωση και εμφυτεύτηκε stent Synergy 3.0X16mm σε υψηλές ατμόσφαιρες. Η τελική μεταδιάταση έγινε με μπαλόνι υψηλής πίεσης 3.25Χ15mm με άριστο αγγειογραφικό αποτέλεσμα και φυσιολογική ροή στην περιφέρεια.
Συμπέρασμα:
Η ενδοστεφανιαία λιθοτριψία είναι μία σύγχρονη, αποτελεσματική επιλογή κατά τη διαδερμική παρέμβαση σε έντονα επασβεστωμένες βλάβες και, πιθανότατα, πιο ασφαλής σε σχέση με την περιστροφική αθηρεκτομή (rotablation) στα πλαίσια οξέων στεφανιαίων συνδρόμων. Λόγω του μηχανισμού δράσης της, προκαλεί "μικροκατάγματα" στην επασβεστωμένη αθηρωματική πλάκα, ώστε να είναι δυνατή η επαρκής διάνοιξη μπαλονιών και stents. Σε αντίθεση με την περιστροφική αθηρεκτομή, αποφεύγει τη δημιουργία και περιφερική εμβολή πολλαπλών θραυσμάτων αθηροθρομβωτικού υλικού στη μικροκυκλοφορία, γεγονός ιδιαίτερα σημαντικό σε ασθενείς με οξύ έμφραγμα, όπου υπάρχει ήδη ο κίνδυνος φαινομένου "no reflow".
Απαραίτητη προϋπόθεση είναι φυσικά η προσπέλαση της βλάβης με το μπαλόνι λιθοτριψίας, η οποία μπορεί να είναι δύσκολη σε σοβαρού βαθμού επασβεστωμένες βλάβες, ειδικά αν δεν βρίσκονται στο εγγύς τμήμα του αγγείου ή/και αν υπάρχουν ελικώσεις πριν από τη στένωση. Στο περιστατικό που παρουσιάζουμε χρειάστηκε να επιστρατευθούν τεχνικές με τις οποίες βελτιώνεται η στήριξη (μεγαλύτερης διαμέτρου και μήκους οδηγός καθετήρας, δύο σύρματα ως "buddy wires", anchoring balloon και προέκταση καθετήρα Guidezilla) ώστε να διέλθει επιτυχώς τη στένωση το μπαλόνι λιθοτριψίας. Σε περιστατικά με σταθερή στεφανιαία νόσο μπορεί να χρειασθεί να προηγηθεί περιστροφική αθηρεκτομή της λιθοτριψίας ώστε να επιτευχθεί το επιθυμητό αποτέλεσμα.
Φαρμακευτική αγωγή: Ασπιρίνη, κλοπιδογρέλη, ατορβαστατίνη, ραμιπρίλη, μπισοπρολόλη, επλερενόνη, φουροσεμίδη, εμπαγλιφλοσίνη, γλιμεπιρίδη, παντοπραζόλη
Εξέχουσες Δημοσιεύσεις
Γνώμες Ειδικών
Καρδιαγγειακά νοσήματα και σύγχρονος τρόπος ζωής
Κωνσταντίνος Τούτουζας
Συμμετοχή σε άρθρο για την Οπτική Συνεκτική Τομογραφία
Κωνσταντίνος Τούτουζας
Πόνος στο στήθος: Τι πρέπει να κάνετε;
Αγγελόπουλος Παναγιώτης
Μελέτες Επεμβατικής Καρδιολογίας το 2021: Χαμένοι και Κερδισμένοι
Κωνσταντίνος Τούτουζας
Σταχυολογήματα από το TCT 2021
Κωνσταντίνος Τούτουζας
Βασικά σημεία των νέων κατευθυντήριων οδηγιών για τις βαλβιδοπάθειες
Κωνσταντίνος Τούτουζας
Νέες Κατευθυντήριες οδηγίες για τις Βαλβιδοπάθειες
Κωνσταντίνος Τούτουζας
Πρακτικές στο Αιμοδυναμικό Εργαστήριο
Κωνσταντίνος Τούτουζας
FDA Clears Abbott's AI-Powered Coronary Imaging Platform
Κωνσταντίνος Τούτουζας
Aντιθρομβωτική θεραπεία σε προσθετικές καρδιακές βαλβίδες
Μ.Μπότης,Γρ.Παττακός,Ι.Γουδέβενος
Οι ανεμβολίαστοι (και το μυαλό τους) παραμένουν το πρόβλημα
Κοχιαδάκης Γεώργιος
Καρδιά και καύσωνας: Μέτρα προστασίας
Αγγελόπουλος Παναγιώτης
Αντιμετωπίζοντας τις παράπλευρες απώλειες του κορωνοϊού
Λάμπρος Μιχάλης
Πώς ξεχωρίζουμε απλές παρενέργειες εμβολίων από τις καρδιακές επιπλοκές
Κωνσταντίνος Τούτουζας
Κρίστιαν Έρικσεν
Κωνσταντίνος Τούτουζας
Στατιστικά Μαϊου για την Covid-19
Κοχιαδάκης Γεώργιος
Η καρδιά είναι φτιαγμένη να χτυπά
Κοχιαδάκης Γεώργιος
Άρση των πατεντών για τα εμβόλια. Προσδοκίες και ευκαιρίες
Κωνσταντίνος Τούτουζας
Οι θέσεις των Αμερικανικών Ιατρικών Ενώσεων για τη θρόμβωση μετά τον εμβολιασμό
Κοχιαδάκης Γεώργιος
COVID-19: τι μάθαμε σ’ ένα χρόνο
Τρίκας Αθανάσιος
Υποχρεωτικός και αναγκαστικός εμβολιασμός – Η σύγχυση προκαλεί αντιδράσεις
Σουλιώτης Κυριάκος
Οι παράπλευρες συνέπειες της COVID-19
Μιχάλης Λάμπρος
4 Λόγοι γιατι η τακτική άσκηση είναι σημαντική για τους καρδιακούς ασθενείς
Αγγελόπουλος Παναγιώτης
Η επίδραση της πανδημίας COVID-19
Παπαφακλής Μιχαήλ
Το FDA εγκρίνει το WATCHMAN FLX
Γεώργιος Τρανταλής,
Κωνσταντίνος Τούτουζας
Μελέτη ISCHEMIA: Τι αλλάζει στην κλινική πράξη;
Κωνσταντίνος Τούτουζας
Αιμοδυναμικό Εργαστηρίο & COVID-19
Λάμπρος Μιχάλης
Κορονοϊός και Καρδιά
Κωνσταντίνος Τούτουζας




Η αξιολόγηση από ομότιμους είναι ευθύνη της Cardio Act
Σύγκρουση συμφερόντων: Δεν δηλώθηκε
© 2019 CardioAct